| 长链cDNA合成比较实验 |
| 以Mouse Heart Total RNA 1 μg、500 ng、100 ng、50 ng、10 ng为模板,使用TCH026及其他公司同类产品反转录获得cDNA,以cDNA为模板分别对DMD基因6 kb进行扩增性能评价。 |
![]() |
| (Takara Biomedical Tech. Co., Ltd. 比较结果) |
| 结果表明:TCH026、6215扩增感度与B公司试剂相当,优于其他公司同类产品。 |
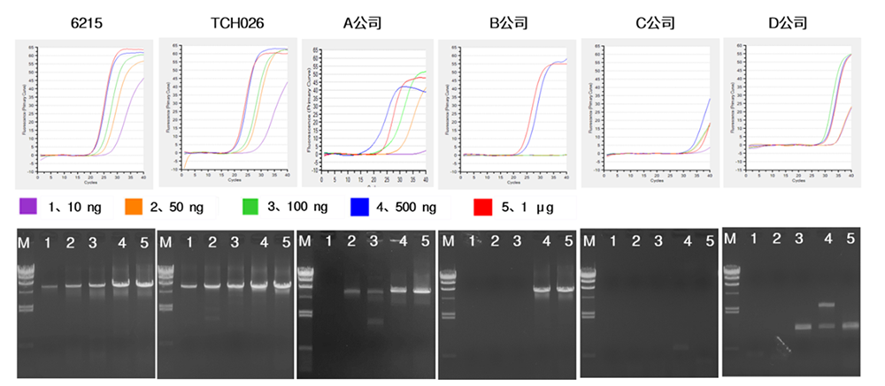
| 长链cDNA合成比较实验 |
| 以Mouse Heart Total RNA 1 μg、500 ng、100 ng、50 ng、10 ng为模板,使用TCH026及其他公司同类产品反转录获得cDNA,以cDNA为模板分别对DMD基因6 kb进行扩增性能评价。 |
![]() |
| (Takara Biomedical Tech. Co., Ltd. 比较结果) |
| 结果表明:TCH026、6215扩增感度与B公司试剂相当,优于其他公司同类产品。 |