| 扩增片段长度比较实验 | ||||||||
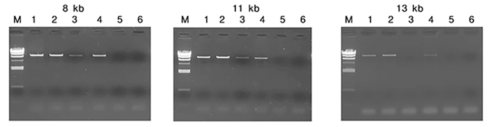
| 以Mouse Heart Total RNA 1 μg为模板,使用TCH026及其他公司同类产品反转录获得cDNA,以cDNA为模板分别对Dystrophin基因8 kb/11 kb/13 kb进行扩增性能评价。 | ||||||||
![]() |
||||||||
| (Takara Biomedical Tech. Co., Ltd. 比较结果) | ||||||||
|
||||||||
| 结果表明:6215、TCH026、A公司和B公司试剂均能扩增13 kb片段;C公司、D公司试剂无法扩增8 kb及以上片段。其中产物量TCH026≈6215>B公司>A公司。 | ||||||||

京公网安备 110114000405号